2017/12/04
相信很多孕妈妈怀孕后,一直想知道宝宝的性别,想了各种方法,比如通过四维彩超看性别。一般情况下医生都不会向你透露胎儿的性别,但其实彩超的照片上会透露出许多信息。新世纪专家就来为大家讲讲如何从B超图上看出宝宝的性别?
四维彩超除了能让准父母跟未出世的“宝宝”提前见面,它主要的功能是能对胎儿i进行各种检查,及早发现胎儿在生长过程中方遇到的问题,如唇裂、脊柱裂等,另外,四维彩超比传统差超、B超更清晰、更准确。
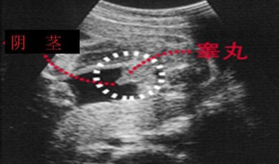
男宝宝B超图:

男宝宝的B超图上其实是能看到小鸡鸡的,图片的红圈处就是。这张图片上的小鸡鸡非常清晰,医生很厉害,她取的那个角度就是宝宝的屁股正下方,看的特清楚。

“凸出的东西” 是他的标记: 你们看到圆圆的是DANDAN,如果看到圆圆的加小肠的就是全部JJ。
女宝宝B超图:

三条白线是明显的女宝特征,如果没有看到明显的三条白线,就看两腿之间有没有突出的东东,且中间有小凹槽的,就是女宝宝。

后期宝宝已经很大了,占了整个显示器也不好看,孕中期最好看,要在测量股骨(大腿骨)的时候看(省立一般是先测量胎心,然后是在显示器上拉个圆圈测量头围和双顶径,随后是拉条直线测量股骨)。

另外还要看宝宝的位置,有的位置看不到,所以请宝爸们瞪大眼睛,眼见为实。一定要在进去在B超机显示器上看,打印出来的根本看不清楚。还有 如果那里有实习医生 他们多多少少都会交流男女宝。说长的很好的一般是男宝,长很漂亮的多半是女宝。
一般来说,四维彩超看性别是不被允许的,尽管四维彩超看胎儿性别切实可行,但国家明确规定非医学目的分辨胎儿性别是违法行为。
新世纪专家提醒:无论腹中的宝宝是男孩女孩,都是夫妻爱情的结晶,准爸妈们更应该关心的是宝宝的健康发育是否正常、并非宝宝的性别。